Click here to listen to Nick's 5-minute talk on Sensitivity and Specificity.
Although we may not think about it very often, physical signs have test characteristics just like laboratory assays do. Some knowledge of the the test characteristics of different physical signs can be useful in practicing rational and cost-effective medicine.
Although we may not think about it very often, physical signs have test characteristics just like laboratory assays do. Some knowledge of the the test characteristics of different physical signs can be useful in practicing rational and cost-effective medicine.
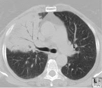
![]() |
| Consolidated lung with air bronchograms |
This week we talked about the sensitivity and specificity of egophony in the diagnosis of pneumonia. Sensitivity can be defined as “positivity in disease,” and is expressed as the number of patients with a positive test result divided by the total number with the target disorder, giving the percentage of true positives in the diseased population. Specificity can be defined as "negativity in health," and is expressed the number of patients with a negative test result who don’t have the target disorder, giving the percentage of true negatives in the healthy population.
This is a useful and widely reproduced table from which you can always get sensitivity and specificity (among other things):
Using this table, sensitivity = a/(a+c) and specificity = d/(b+d).
In our example, reference to the literature (McGee’s Evidence Based Physical Diagnosis,) suggested that the sensitivity of egophony for pneumonia is a paltry 4-16%, whereas the specificity is nearly 100%. So if you’re sure you hear it, you may not even need a chest x-ray to make the diagnosis – but the absence of this sign is basically meaningless.


No comments:
Post a Comment